診療・各部門
整形外科
特色および専門分野
徳山中央病院整形外科では脊椎、リウマチ性疾患、四肢関節、マイクロサージャリー、骨軟部腫瘍、一般外傷から骨盤骨折・脊椎損傷など重度外傷まで幅広く整形外科疾患のほぼ全領域をカバーしています。脊椎外科指導医、日本リウマチ学会専門医・指導医、日本手外科学会専門医・指導医、日本リハビリテーション医学会専門医・指導医が在籍し各分野の手術を担当しています。コンセンサスの得られたstandardな治療を心がけています。
昨今の超高齢化社会に伴い、手術症例は増加傾向にあります。

(山口大学整形外科同門会誌に掲載したデータ)
治療内容及び治療実績
脊椎疾患
脊椎疾患においても、手術症例数は増加傾向にあります。高齢化に伴う頚椎症性脊髄症や腰部脊柱管狭窄症などの変性疾患は増加傾向にあります。2011年に日本脊椎脊髄病学会主導の全国調査では腰部脊柱管狭窄症で手術が行われた65歳以上の高齢者における手術時平均年齢は74.6歳でしたが、この調査から10年以上経過し現在では、さらなる高齢化の進行が予想されます。(Imajo Y, et al. Japanese 2011 nationwide survey on complications from spine surgery. J Orthop Scie 20;38-54,2015)

(山口大学整形外科同門会誌に掲載したデータ)
当院は3次救急病院であるため、脊椎外傷も非常に多く頭蓋頚椎移行部から骨盤まで広範囲の手術を行っています。
〇環椎後頭骨癒合症に対する後頭骨から頚椎までの後方固定術+歯突起切除

〇腰仙椎移行部化膿性脊椎炎に対しては、前後同時固定術(腰椎から骨盤までの後方固定と前方から掻把+腸骨移植)を外科医師に協力していただき行っています。

-
- 術前診断
術前には神経所見・MRIなどの画像所見に加えブロック治療や電気生理検査を行い正確な診断に努めています。
ブロック治療には、硬膜外ブロック、神経根ブロック、椎間関節ブロックなどがありますが、整形外科では、神経根ブロックと椎間関節ブロックを行っています。
神経根ブロック:腰椎疾患に対してのみで、現在頚椎神経根ブロックは行っていません。対象は主に根性坐骨神経痛の患者さんです。神経根ブロックは、どの神経根が下肢痛の原因かを同定するために行っています。同定することでどの神経根を手術(除圧)すればよいか判断しています。この手技により正確な手術高位が同定できます。また、この神経根ブロックで疼痛が軽減し手術治療を回避できることもあります。
椎間関節ブロック:腰椎疾患に対してのみで、現在頚椎疾患は行っていません。対象は椎間関節性腰痛の患者さんです。片側の腰痛で後屈(腰を反った)したときに強くなるなどが特徴です。(今城靖明ほか、腰椎椎間関節ブロックと仙腸関節ブロック(日常診療に役立つ整形外科領域の痛みの知識 ; 痛みの治療--神経ブロック療法の実際とコツ)整形災害外科2009:52(5)605-610)
電気生理検査:手術症例全例ではありませんが、診断に悩む症例や電気生理検査で術後成績が予想できる脊髄疾患に対し行っています。
① 中枢運動伝導時間(CMCT: central motor conduction time)外側皮質脊髄路の障害を反映します。CMCTが遷延することで外側皮質脊髄路障害の有無、障害の程度が分かります。
(Imajo Y, et al. Effects of differences in age and body height on normal values of central motor conduction time determined by F-waves. J Spinal Cord Med. 2017 Mar;40(2):181-187)
② 馬尾伝導時間(CECT: cauda equina conduction time)腰部脊柱管狭窄症などで馬尾が圧迫されることで馬尾の脱髄(障害)の有無、脱髄の程度が分かります。
(Imajo Y, et al. Cauda equina conduction time determined by F-waves in normal population and patients with neurogenic intermittent claudication caused by lumbar spinal stenosis. J Clin Neurophysiol. 2017 Mar;34(2):132-138)
③ 複合筋活動電位(CMAPs: compound muscle action potentials)突然上肢挙上困難(手が上がらなくなる)となる近位型頚椎症性筋萎縮症などでは、手術治療か保存治療を行うか治療方針の決定にCMAPsを使用しています。
(Imajo Y, et al.Prediction of Surgical Outcome for Proximal-Type Cervical Spondylotic Amyotrophy Novel Mode of Assessment Using Compound Action Potentials of Deltoid and Biceps Brachii and Central Motor Conduction Time. Spine 2012;37: E1444-E1449)
(Imajo Y, et al. Pathology and prognosis of proximal-type cervical spondylotic amyotrophy: new assessment using compound muscle action potentials of deltoid and biceps brachii muscles. Spine 2011;36: E476-81)
-
- 手術治療
なるべく除圧術(神経の圧迫をとる)を行うように努めていますが、不安定性が強い症例や変形を認める症例に対しては固定術を併用しています。全例顕微鏡下に手術を行っています。顕微鏡下では術野を何倍にも拡大することが可能で正確で繊細な手術手技が可能となります。神経障害発生予防のため、術中脊髄モニタリングを行い安全安心な手術を行っています。
術中脊髄モニタリング:リアルタイムに神経の状態を確認することができるため、神経を扱う脊椎手術では積極的に行っています。
術中脊髄モニタリングには、
① 経頭蓋電気刺激による運動誘発電位(TES-MEP: transcranial electric stimulation-motor evoked potentials)
② 後脛骨神経刺激による体性感覚誘発電位(SSEP: somatosensory sensory evoked potentials
③ 脊髄刺激による運動誘発電位(Sc-MEP)
④ Free-run EMGなどがあります。
通常の脊髄高位である頚椎・胸椎手術では、①②を使用し手術を安全に行っています。
(今城靖明、脳波解析と電気生理学的モニタリング2016:脊椎・脊髄手術での脊髄電気生理学的モニタリング)
(Imajo Y, et al.J Orthop Sci. 2022 Jul;27(4):774-779. The reference intervals of intraoperative posterior tibial nerve somatosensory evoked potentials.)
術中脊髄モニタリングが有用な手術
胸椎脱臼骨折を認めますが、両下肢筋力低下がなかったため、体位変換や術中操作による脊髄損傷が危惧されましたが、術中脊髄モニタリングを駆使し慎重に手術を行いました。
術後麻痺なく独歩可能です。

頚椎脱臼骨折を認めるが、四肢の筋力低下
は認めなかった。術中脊髄モニタリングを駆使し
慎重に手術を行いました。術後麻痺なく独歩可能です。

硬膜内髄外腫瘍による重度歩行障害に対し
術中脊髄モニタリングを用い腫瘍摘出術を行いました。
術後麻痺なく独歩可能です。

両下肢の脱力による歩行障害に対し脳外科医師
と協力し手術を行っています。術後しびれは残存
していますが、独歩可能です。

CTベースドナビゲーションなどのコンピューター支援技術
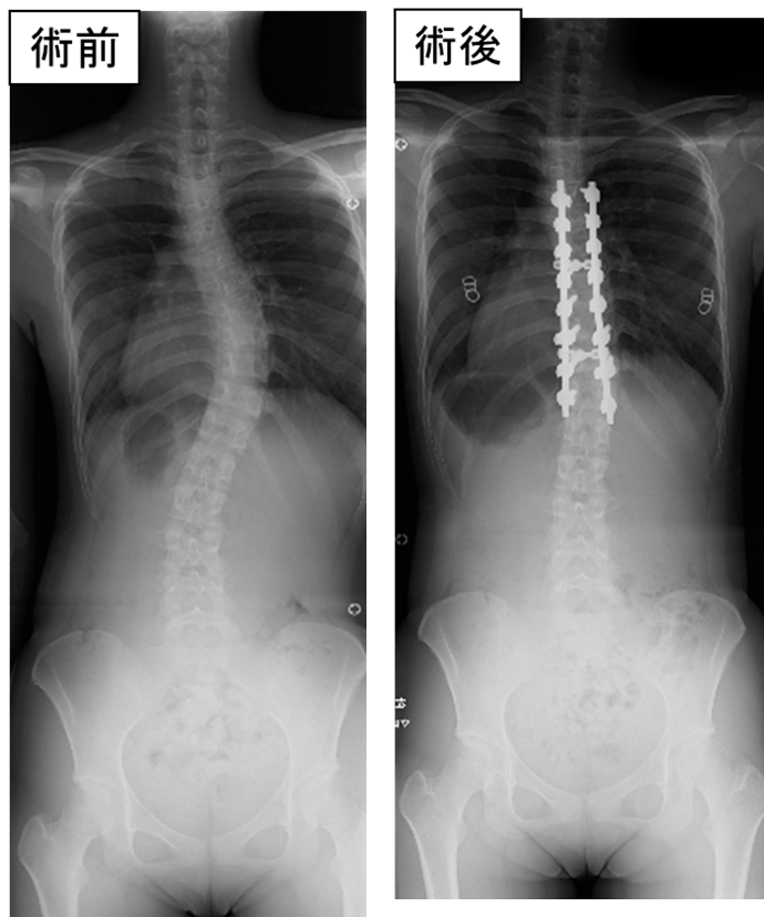
症例数は少ないですが、思春期特発性脊柱側弯症、先天性脊椎側弯症(半椎)、頚胸椎移行部の脱臼骨折症例などでは、CTベースドナビゲーションなどのコンピューター支援技術を使用し安全な手術を行っています。このような症例では背骨(椎体)にスクリューを挿入し矯正します。スクリュー周囲には重要な神経(脊髄・馬尾・神経根など)や血管(胸腹部大動脈・椎骨動脈など)が存在するため、これらを避けて挿入する必要があります。ナビゲーション手術は、術前に撮影したCT画像をコンピューターに取り込み、リアルタイムにどこにスクリューが挿入されているか確認しながら行う手術です。

思春期特発性脊柱側弯症
ナビゲーションを用いてスクリューを椎弓根に挿入し矯正しています。

-
- 切らずに治す治療
腰椎椎間板ヘルニアに対しては、神経根ブロックで改善が得られないと皮膚を切開する手術を行っていましたが、最近では椎間板内酵素注入療法(商品名:ヘルニコア)を行っています。椎間板酵素注入療法は、椎間板内に直接薬剤を注入し椎間板内圧を低下させ神経根圧迫を軽減します。その結果、下肢痛を改善します。入院期間は1泊で傷跡は注射痕のみです。下の図は、術前MRIで認めたヘルニアが3か月後のMRIで縮小しているのがよくわかります。(Fujimoto K, Suzuki H, Nishida N, Funaba M, Ichihara Y, Ikeda H, Imajo Y, Yamamoto M, Sakai T. Utilization of condliase therapy versus surgery for lumbar disc herniation and comparison of post-treatment motor improvement. Clinical Neurology and Neurosurgery2024) (Fujimoto K, Suzuki H, Nishida N, Funaba M, Ichihara Y, Ikeda H, Imajo Y, Yamamoto M, Sakai T. Characteristics of hernia reduction and signal intensity changes on magnetic resonance images after condoliase therapy for lumbar disc herniation. J Orthop sci 2025 in press)

上肢疾患
同じ四肢でも下肢とは異なり上肢は体重などの大きな力は加わりませんが、繊細な動きをする器官です。人間が他の動物と違い文明社会を築けたのは、細やかな動作が出来る手や指があったからと言われています。そのため、周りの人からは分からないような障害でも社会活動・日常生活に大きな影響することがあります。その治療として手術用ルーペ、顕微鏡、関節鏡などを使用して拡大して内部をよく確認、修復を行っています。
具体的には橈骨遠位端骨折では、関節鏡を併用して関節内の状況を確認し骨折と軟部組織の修復をしています。肩の腱板断裂は関節鏡を使用して修復しています。手根管症候群も鏡視下での手術を行い、小侵襲を心がけています。
外創や腫瘍性疾患に対する組織欠損や機能障害に対してmicrosurgeryを応用した再建を行っています。

また手は多数の腱が走行しており、容易に癒着を生じてしまいます。手術はできる限り侵襲を少なくし、早期に手のリハビリ訓練を専門に行う熟練したハンドセラピストと連携して質の高い治療を提供しています。
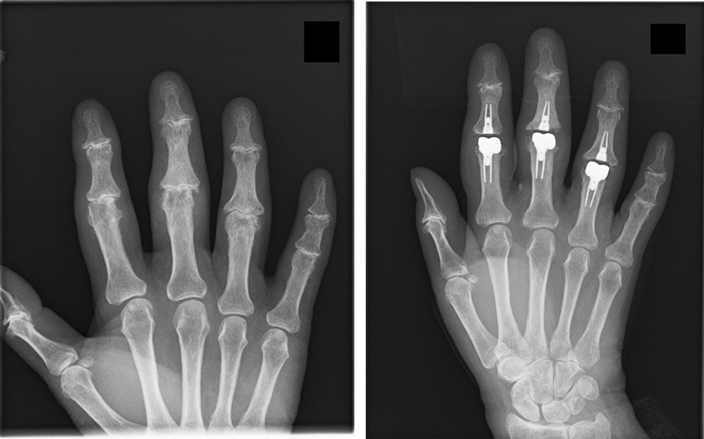
上肢は体重など大きな力が加わらないため、膝や股関節と比較して変形性関節症の発生頻度は少ないですが一定の割合で発生しています。肩の腱板が断裂した状態が長期経過し変形性肩関節症を併発する患者様や加齢に伴い肘関節や指のPIP関節(第2関節)・MP関節(第3関節)の変形性関節症を発生する患者様おられます。人工肩関節置換術、人工肘関節置換術、人工指関節置換術を行うことで除痛と可動域獲得の手術も行っています。

※2024年現在DIP関節(第1関節)は適切な人工関節がないため関節固定を行っています。
下肢疾患
股関節・膝関節の変形性関節症・リウマチ等に対して人工関節置換術による機能再建を行っています。人工関節は、高度に障害された関節を金属等で出来た人工関節に置換し、関節機能を回復させる手術です。 関節の痛みの原因となっている部分を取り除くため、除痛効果が大きいのが特徴で、術後早期よりリハビリを開始することが出来ます。また近年は症例に応じてAR(augmented reality:拡張現実) 技術を使用したナビゲーションシステムを併用して手術を行っています。
アスリートの膝関節スポーツ外傷(前十字靭帯損傷・半月板損傷等)に対し、スポーツ復帰を目指して関節鏡を使用した靭帯再建・半月板縫合手術も行っています。
骨盤骨折の手術はハイブリッド手術室を使用し、術中CTによる整復位・インプラント設置位置の確認が可能です。

また高齢化とともに増加傾向となっている大腿骨近位部骨折は、近年早期手術の有用性がガイドラインにも記載されており、当院でも受傷から48時間以内の手術を目標として可及的速やかに手術を行っています。
骨軟部腫瘍疾患
骨軟部腫瘍は、骨組織や筋肉、血管、神経、脂肪などの軟部組織に発生する腫瘍です。骨軟部腫瘍は非常に稀な疾患で、骨に発生する悪性腫瘍は人口10万人あたり年間1.0人、軟部組織に発生する悪性腫瘍は人口10万人あたり年間3.5人とも言われています。消化器系の癌の代表である大腸癌は人口10万人あたり年間約120人に発生するというデータもあります。そのため専門に診療する医師や施設が少なく、治療法についても確立していないため適切な治療が行われない場合も少なくありません。当院は地域の中心的専門施設として、他の施設とも連携しながら適切な医療を提供します。以前では四肢の骨軟部悪性腫瘍に対し切断術が標準治療となっていたこともありましたが、軟部組織移植、処理骨、人工関節といった再建手術治療に化学療法や放射線療法などを組み合わせることにより患肢温存を目指した治療を行っています。
転移性骨腫瘍(腎細胞癌)
内軟骨腫
| 副院長 山本 学 |
昭和61年卒 日本整形外科学会専門医・日本整形外科学会認定脊椎脊髄病医・日本整形外科学会認定リウマチ医・日本整形外科学会認定スポーツ医・日本整形外科学会認定運動器リハビリテーション医・日本脊椎脊髄病学会脊椎脊髄病外科指導医/専門医・日本リウマチ学会指導医/専門医・日本リハビリテーション医学会臨床認定医 日本整形外科学会・日本脊椎脊髄病学会・日本リウマチ学会・日本リハビリテーション医学会・日本クリニカルパス学会(評議員)・日本骨粗鬆症学会・日本医療情報学会・中部日本整形外科災害外科学会(評議員)・西日本整形外科災害外科学会 |
|---|---|
| 主任部長 今城 靖明 |
平成11年卒 日本整形外科学会専門医/認定脊椎脊髄病医・日本臨床神経生理学会専門医・日本脊椎脊髄外科指導医/専門医・術中脳脊髄モニタリング認定医・日本脊椎脊髄病学会認定医モニタリング認定医、日本脊椎脊髄病学会(評議員)、中部日本整形災害外科学会(評議員)、日本脊髄機能診断学会(代議員) 日本整形外科学会・日本脊椎脊髄病学会・日本臨床神経生理学会・日本側弯症学会・日本脊椎インストゥルメンテーション学会・西日本脊椎研究会・中部日本整形災害外科学会・日本脊髄機能診断学会・日本脊椎前方側方進入学会 |
| 副主任部長 守屋 淳詞 |
平成14年卒 日本整形外科学会 専門医 日本手外科学会 専門医/指導医 日本リウマチ学会 専門医/指導医 日本リハビリテーション医学会 専門医/指導医 日本骨粗鬆症学会 認定医 日本整形外科学会・日本手外科学会・日本リウマチ学会 ・日本リハビリテーション医学会 |
| 部長 梅原 渓太郎 |
平成21年卒 日本整形外科学会専門医・日本整形外科学会認定スポーツ医・日本整形外科学会認定運動器リハビリテーション医・日本整形外科学会認定リウマチ医 日本整形外科学会・日本手外科学会・日本マイクロサージャリー学会 |
| 部長 田邨 一訓 |
平成22年卒 日本整形外科学会専門医・日本人工関節学会認定医・日本スポーツ協会公認スポーツドクター・日本整形外科学会認定スポーツ医・日本整形外科学会認定運動器リハビリテーション医・日本整形外科学会認定リウマチ医 日本整形外科学会・日本骨折治療学会・日本人工関節学会・日本関節鏡、膝、スポーツ整形外科学会・日本足の外科学会・中部日本整形災害外科学会・西日本整形災害外科学会・中国四国整形外科学会 |
| 医長 大石 一輔 |
平成26年卒 日本整形外科学会・日本骨折治療学会・日本人工関節学会・中国四国整形外科学会 |
| 医員 池田 真圭 |
平成31年卒 日本整形外科学会・日本脊椎脊髄病学会 |
| 医員 三宅 達也 |
令和2年卒 日本整形外科学会・日本脊椎脊髄病学会・日本脊椎インストゥルメンテーション学会 |
| 医員 岡村 海志 |
令和4年卒 |
| 月曜日 | 火曜日 | 水曜日 | 木曜日 | 金曜日 | |
|---|---|---|---|---|---|
| 午前 | 今城 靖明 (脊椎・脊髄) 三宅 達也 (全般) 山本 学 (リウマチ) |
山下 陽輔 永尾 祐治 守屋 淳詞 (上肢・リウマチ) |
岡村 海志 (全般) 金岡 丈裕 (下肢・人工関節) 田邨 一訓 (下肢・スポーツ) |
今城 靖明 (脊椎・脊髄) 永尾 祐治 山本 学 (リウマチ) |
山下 陽輔 金岡 丈裕 (下肢・人工関節) 守屋 淳詞 (上肢・リウマチ) |
| 午後 | 田邨 一訓 (下肢・スポーツ) | 三宅 達也 (全般) |
現在、おしらせはありません。
患者さん紹介時のお願い
急患等々にも可能な限り対応いたしますので、ご遠慮なくご連絡いただければと存じます。